Перейти к:
Возможности капилляроскопической оценки микроциркуляции в кардиологии
https://doi.org/10.15829/1728-8800-2025-4380
EDN: MQTLQN
Аннотация
Развитие и прогрессирование сердечно-сосудистых заболеваний сопровождается появлением различных изменений на всех уровнях сосудистого русла, от крупных артерий до капилляров, что делает особенно актуальным изучение различных подходов к диагностике поражений сосудов. Особое внимание привлекают неинвазивные методы исследования, имеющие широкие возможности для оценки микроциркуляторных нарушений. Наибольший интерес представляет капилляроскопия, при помощи которой возможно оценить как архитектуру и организацию капилляров, так и их функциональное и морфологическое состояние. В статье рассматривается современное состояние проблемы исследования микроциркуляторного русла и возможности капилляроскопии в диагностике различных нарушений у пациентов кардиологического профиля.
Ключевые слова
Для цитирования:
Лишута А.С., Кожевникова М.В., Слепова О.А., Беленков Ю.Н., Симановский А.А., Шахнович В.А., Мустафина Ф.Н. Возможности капилляроскопической оценки микроциркуляции в кардиологии. Кардиоваскулярная терапия и профилактика. 2025;24(8):4380. https://doi.org/10.15829/1728-8800-2025-4380. EDN: MQTLQN
For citation:
Lishuta N.V., Kozhevnikova M.V., Slepova O.A., Belenkov Yu.N., Simanovsky A.A., Shakhnovich V.A., Mustafina F.N. Microcirculation assessment using capillaroscopy in cardiology. Cardiovascular Therapy and Prevention. 2025;24(8):4380. (In Russ.) https://doi.org/10.15829/1728-8800-2025-4380. EDN: MQTLQN
Введение
Сердечно-сосудистые заболевания (ССЗ), такие как ишемическая болезнь сердца (ИБС), артериальная гипертензия (АГ), хроническая сердечная недостаточность (ХСН) и сахарный диабет (СД) занимают лидирующие позиции среди основных причин инвалидизации и высокой смертности населения1. Известно, что дисфункция микроциркуляторного русла (МЦР) является одним из механизмов патогенеза ССЗ и результатом их прогрессирования [1]. Система микроциркуляции (МЦ) обеспечивает поддержание адекватных биохимических реакций в органах и тканях, осуществление многочисленных клеточных функций, течение иммуновоспалительных и репаративных процессов [2]. Таким образом, эффективное функционирование сердечно-сосудистой системы определяется слаженным взаимодействием сердца, сосудистого русла, крови, а также тканевого метаболизма, поэтому своевременное выявление и адекватная оценка этих нарушений могут значительно улучшить качество превентивных и лечебных мероприятий [3]. Нарушения состояния капиллярной сети являются важным патогенетическим компонентом развития и прогрессирования ССЗ; кроме того, снижение микроциркуляторного кровотока ограничивает поступление кислорода и лекарственных препаратов в ткани, что способствует усугублению клинических проявлений заболевания и снижает эффективность фармакотерапии [4]. Важно, что морфофункциональное состояние капилляров может оцениваться in vivo, что открывает широкие возможности для использования таких методов исследования, как капилляроскопия. В настоящее время визуализация МЦР эпонихия позволяет оценить количество капилляров, их размеры, структурные и функциональные особенности. Основными преимуществами метода являются неинвазивность, простота и доступность выполнения, в т.ч. на амбулаторном этапе, что может позволить широко использовать данный метод диагностики у пациентов кардиологического профиля.
Цель обзора — анализ и систематизация имеющихся научных данных по вопросу исследования состояния МЦР у пациентов с ССЗ методом капилляроскопии для выявления определенных паттернов тех или иных заболеваний.
Методологические подходы
Для достижения указанной цели был проведен поиск и анализ литературных обзоров, метаанализов и оригинальных статей в поисковых системах E-library, Web of Science, PubMed, Google Scholar, которые были опубликованы с 2017 по 2025гг. Поиск научных статей выполнялся с использованием следующих ключевых слов и словосочетаний: сердечно-сосудистые заболевания, методы исследования, микроциркуляция, капилляроскопия, сосудистые нарушения. Всего в ходе поиска были отобраны 42 полнотекстовые публикации.
Результаты
Общие данные и технология выполнения
Компьютерная видеокапилляроскопия околоногтевого ложа является одним из наиболее простых и доступных методов, позволяющих в режиме реального времени выявлять как структурные, так и функциональные изменения МЦ. Структурные параметры определяются ангиоархитектоникой капиллярного русла (форма капилляров, плотность капиллярной сети и площадь кислородообменной поверхности), параметрами отдельных капилляров (диаметр артериального, переходного и венозного отделов) [5][6]. Функцию капилляров характеризуют гемодинамические характеристики кровотока (линейная и объемная скорости) и их производные. Программное обеспечение позволяет рассчитать скорость движения крови на основе визуализации движения отдельных эритроцитов [7].
Капилляроскопия получила достаточно широкое распространение в ревматологии, и наиболее часто используется в диагностике системной склеродермии, а также первичного и вторичного синдрома Рейно (рисунок 1). Рекомендации по проведению капилляроскопии разработаны экспертами ревматологических обществ и могут быть использованы в других специальностях, в частности, в кардиологии, для которых отдельных рекомендаций не существует [8-10].
Морфологические параметры, определяемые при капилляроскопии, включают архитектуру и организацию капилляров, морфологию капилляров, плотность капиллярной сети (на мм2), размеры капилляров, микрогеморрагии, аваскулярные поля, признаки неоангиогенеза. Нормальные структурные и функциональные параметры представлены в таблице 1 [11].
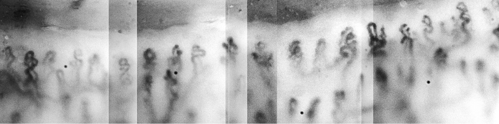
В зависимости от цели проведения капилляроскопии можно выбирать различное увеличение (рисунок 2). В качестве золотого стандарта для классификации склеродермических или несклеродермических паттернов используется 200-кратное увеличение [12], для более детальной оценки (описание характеристик капилляра) может использоваться большее увеличение (до ×450).
Плотность капиллярной сети кожи (ПКС) отражает количество перфузируемых капилляров на единицу площади. Сама по себе оценка и сопоставление количественных значений ПКС представляет некоторые трудности из-за отсутствия четких референсных значений и стандартов ее оценки (в различных исследованиях для определения ПКС используется различное увеличение, нет привязки к единице площади). Оценка ПКС проводится в покое, что характеризует структуру капиллярного русла, а также в пробе с реактивной гиперемией и пробе с венозной окклюзией — структурно-функциональные характеристики капиллярной сети (рисунок 3) [13][14].
Капилляроскопия ногтевого ложа (рисунки 4-6) позволяет выявить изменения архитектоники МЦР при различных кардиоваскулярных рисках и заболеваниях. Основными паттернами расстройств кровообращения в МЦР являются артериальная гиперемия, венозная гиперемия, стаз и ишемия [15]. Артериальной гиперемией называется усиление кровотока в органе или ткани при увеличении притока крови в результате расширения приносящей артерии или артериолы (активная гиперемия). Венозной гиперемией называется увеличение кровенаполнения органа или ткани вследствие препятствий оттоку крови из МЦР в венозную систему. Стазом называется полная остановка кровотока в сосудах вследствие венозной гиперемии с уравниванием венозного давления с артериальным (застойный стаз), ишемии с падением артериального давления до уровня венозного (постишемический стаз) и изменения вязкости крови и текучести ее по капиллярам (истинный или капиллярный стаз).
Высказываются предположения о том, что развитие структурных и функциональных нарушений на уровне МЦР является одним из универсальных этапов патогенеза большинства ССЗ. Ввиду того что в МЦР сосредоточена большая часть эндотелия, особенно интересным представляется изучение влияния дисфункции эндотелия на структуру и функцию именно в системе МЦ [16].
Патогенез капиллярных изменений при ССЗ
Ревматологические заболевания выступают наиболее значимым показанием к проведению капилляроскопии околоногтевого ложа, тогда как изменения, выявляемые у пациентов с ССЗ, малоспецифичны. Однако известно, что постоянное повышение уровня С-реактивного белка и, следовательно, хроническое слабовыраженное воспаление у пациентов с такими заболеваниями, как системная склеродермия и ревматоидный артрит, приводит к повышению риска атеросклеротических ССЗ [17]. К примеру, сосудистые изменения при ревматоидном артрите имеют широкий спектр отклонений от нормы, и, кроме того, имеются доказательства связи между структурными нарушениями МЦ и маркерами макрососудистой дисфункции [18]. Данные Pagkopoulou E, et al. свидетельствуют, что показатели риска ССЗ и макрососудистые параметры тесно связаны с микроваскулопатией у пациентов с системной склеродермией [19].
Изменения капиллярного русла ассоциированы с прогрессированием ССЗ, поэтому применение видеокапилляроскопии не ограничивается диагностикой ревматологических заболеваний. Результаты ряда исследований подтверждают потенциал данного метода в оценке нарушений кровотока при различных ССЗ [20]. Основными компонентами патогенеза изменений капилляров при ССЗ являются тканевая гипоксия, повышение внутрисосудистого давления, окислительный стресс, воспаление, гипергликемия и другие метаболические нарушения [1, 21]. Эти состояния приводят к различным нарушениям МЦ, среди которых можно выделить:
- нарушение плотности капилляров (рарефикация/редукция капилляров);
- изменение проницаемости капилляров/толщины стенки;
- повышение сопротивления в капиллярах;
- эндотелиальная дисфункция;
- микротромбозы [2][22].
По данным Lim MWS, et al., разнообразные структурные и функциональные изменения капилляроскопической картины (снижение скорости капиллярного кровотока, функциональная и структурная редукция, изменения конфигурации капилляров) ногтевого ложа могут выявляться у пациентов с ССЗ. Однако неоднородность измерений в различных исследованиях и аномальные результаты у здоровых участников ограничивают их применение в более широкой популяции [23].
Изменения МЦР при ИБС и ХСН
Несмотря на отсутствие достоверных высокоспецифичных паттернов ССЗ при проведении капилляроскопии, определенные нарушения МЦР могут сопровождать те или иные заболевания (рисунки 7, 8). Так, исследование области эпонихия у детей с семейной формой гиперхолестеринемии позволяет выявить раннюю периферическую микрососудистую дисфункцию, аналогичную наблюдаемой при атеросклеротическом поражении сосудов [24]. Другими авторами было установлено, что у пациентов с верифицированной ИБС плотность МЦР в состоянии покоя и по данным тестов с артериальной и венозной окклюзией значительно снижена по сравнению с группой контроля [25].
Определенные изменения могут характеризовать в т.ч. различные типы ХСН: микрососудистые аномалии значительно чаще встречаются у пациентов с сохраненной, чем со сниженной фракцией выброса [26]. При ССЗ могут наблюдаться изменения структурных и функциональных параметров капиллярного русла. Снижение плотности микроциркуляторной сети приводит к увеличению межкапиллярного расстояния, гипоперфузии, хронической гипоксии и дисфункции клеток, что стимулирует патологическую активацию тканевых нейрогуморальных систем [27]. Это усугубляет патологические процессы в миокарде, способствует увеличению нагрузки на сердце и прогрессированию ХСН [28]. Показана связь между выражен- ностью структурных и функциональных нарушений МЦР на уровне капилляров кожи с показателями работы левого желудочка [29][30]. Кроме того, было обнаружено, что более выраженные нарушения МЦ связаны с более высоким риском таких осложнений, как инфаркт миокарда, инсульт или органная недостаточность [31]. Таким образом, коррекция нарушений МЦ путем воздействия на эндотелий (вазодилататоры, антиоксиданты, ингибиторы VEGF (Vascular endothelial growth factor, фактор роста эндотелия сосудов), немедикаментозные методы) становится перспективной терапевтической целью у пациентов с ССЗ.
Изменения МЦР при АГ
Капилляроскопия представляет возможности детального изучения МЦ у пациентов с АГ. По результатам исследований при данном заболевании значительный интерес представляет изучение морфологии капилляров, их плотности, а также скорости микроциркуляторного кровотока [32]. Капилляроскопическая картина при АГ достаточно разнообразна и включает снижение капиллярной плотности и появление эритроцитарных аггрегатов [33]. При этом, на ранней стадии АГ у мужчин трудоспособного возраста рарефикации капиллярного русла не наблюдается и повышение периферического сопротивления может быть обусловлено изменением тонуса крупных артериол мышечного типа [34]. Кроме того, было доказано, что у пациентов с АГ имеют место гендерные различия в строении МЦР: у женщин наблюдается более высокая плотность капиллярной сети при более низком уровне тканевой перфузии [35]. Наиболее специфические микроциркуляторные нарушения были выявлены при легочной АГ у пациентов с системной склеродермией: присутствие легочной АГ было ассоциировано с более низкой плотностью капиллярного русла и расширением капиллярных петель [36].
Изменения МЦР при СД
Продолжается изучение возможностей исследования изображений околоногтевого ложа для раннего выявления нарушений МЦР у пациентов с СД [37]. Некоторыми авторами было обнаружено, что АГ при СД 2 типа связана с дополнительным повышением прекапиллярного сосудистого сопротивления [38]. Результаты современных исследований подтверждают и дополняют эту гипотезу. Микрососудистые изменения (нарушения архитектуры капиллярного русла, распределения капилляров, капиллярной плотности и морфологические изменения) являются распространенным признаком СД 2 типа, что позволяет использовать их в качестве диагностического критерия при проведении капилляроскопии [39]. Анализ литературы показал, что более высокий процент пересекающихся капилляров околоногтевого ложа ассоциирован с повышенным риском диабетической ретинопатии у пациентов с СД [40]. У пациентов с длительным анамнезом заболевания (15-20 лет) значительно чаще наблюдаются множественные извитые капилляры, разветвленные капилляры, микрогеморрагии и расширение апикальных капилляров. Дилатация капилляров и их разветвление даже могут выступать в качестве предикторов диабетической ретинопатии [41].

Рис. 1 Изменение капиллярного русла у пациента с системной склеродермией.
Примечание: редукция капиллярного русла (3-4 капилляра/мм2), расширение и извитость капиллярной петли, значительное снижение скорости микроциркуляторного кровотока. Микрогеморрагии отсутствуют (увеличение ×250; собственные данные).

Рис. 2 Статичные снимки капиллярной сети при различном увеличении (собственные данные).
Таблица 1
Нормальные морфологические параметры при капилляроскопии
|
Капилляроскопические параметры |
Нормальная картина |
|
Прозрачность и видимость кожи |
Отчетливо видны капилляры |
|
Перикапиллярный отек |
Отсутствует |
|
Субпапиллярное венозное сплетение |
Проявляется у >30% здоровых лиц |
|
Капиллярная архитектура |
Капилляры, перпендикулярные краю ногтя |
|
Морфология капилляров |
Перевернутая U-образная форма |
|
Диаметр капиллярной петли |
<20 мкм |
|
Извилистость |
Обычно отсутствует |
|
Расширенные и гигантские петли |
Отсутствуют |
|
Неоангиогенез |
Отсутствует |
|
Микрогеморрагии |
Обычно отсутствуют |
|
Капиллярная плотность |
7-12 капилляров/мм2 |
|
Бессосудистые зоны |
Отсутствуют |
|
Капиллярный кровоток |
Динамичный, без застоя |

Рис. 3 Статичные снимки для проведения оценки плотности капиллярной сети кожи: А) — покой, Б) — проба с реактивной гиперемией, В) — проба с венозной окклюзией. Увеличение ×150; собственные данные.

Рис. 4 Капилляроскопическая картина у пациента с ИБС (стабильная стенокардия, коронарное стентирование), АГ, СД 2 типа (собственные данные).
Примечание: спастическая форма (вытянутые капилляры, спазм приводящих отделов капиллярного русла, полиморфизм капилляров, редукция капилляров).

Рис. 5 Изменения капиллярного русла у пациента с ИБС: стабильная стенокардия (собственные данные).
Примечание: спастико-застойная форма нарушения системы МЦ (преобладание венулярного компонента, извитость и расширение венулярного отдела, периваскулярный отек, наличие шунтирующего кровотока).

Рис. 6 Изменения капиллярного русла у пациента с хронической ишемией головного мозга (собственные данные).
Примечание: стазическая форма нарушения МЦ (снижение кровотока в капиллярном звене МЦР, нарушение барьерной функции микрососудов, ослаблена, патологические полушунты).

Рис. 7 Изменения капиллярного русла у пациента с АГ.
Примечание: снижение плотности капиллярного русла (5-6 капилляров/мм2), выраженная извитость (увеличение ×200; собственные данные).

Рис. 8 Изменения капиллярного русла у пациента с ИБС.
Примечание: расширение переходного и венозного отдела капилляров, их умеренная извитость (увеличение ×200; собственные данные).
Заключение
Нарушения МЦ играют центральную роль в патогенезе ССЗ, цереброваскулярных, почечных, офтальмологических и других заболеваний, и важнейшим направлением современной медицины становится их раннее выявление и коррекция. Значительную роль в диагностике нарушений капиллярного русла может сыграть капилляроскопия, позволяющая выявлять ранние изменения МЦ, еще до развития конкретных заболеваний. Однако отсутствие на сегодняшний день специфических критериев оценки капилляроскопической картины и неоднородность ее изменений в рамках конкретных ССЗ требуют дальнейшего изучения и стандартизации выявляемых изменений капиллярного русла, что ограничивает широкое применение данного метода в практической медицине. В то же время включение капилляроскопии в комплексную оценку сердечно-сосудистых нарушений способно помочь в понимании патогенеза имеющихся изменений. Благодаря внедрению компьютерных технологий обработки и анализа изображений, в т.ч. с использованием нейросетей, становится возможным существенно улучшить диагностические возможности капилляроскопии и более широко внедрить их в клиническую практику.
Отношения и деятельность: все авторы заявляют об отсутствии потенциального конфликта интересов, требующего раскрытия в данной статье.
1 Российский статистический ежегодник. Москва: Росстат; 2022. Доступно на: https://rosstat.gov.ru/folder/210/document/12994.
Список литературы
1. Strain WD, Paldánius PM. Correction to: Diabetes, cardiovascular disease and the microcirculation. Cardiovasc Diabetol. 2021; 20(1):120. doi:10.1186/s12933-021-01307-5.
2. Литвицкий П.Ф. Нарушения регионарного кровотока и микроциркуляции. Регионарное кровообращение и микроциркуляция. 2020;19(1):82-92. doi:10.24884/1682-6655-2020-19-1-82-92.
3. D'Amario D, Migliaro S, Borovac JA, et al. Microvascular Dysfunction in Heart Failure With Preserved Ejection Fraction. Front Physiol. 2019;10:1347. doi:10.3389/fphys.2019.01347.
4. Проничкина М. М. Капилляроскопия ногтевого ложа при микрососудистых осложнениях сахарного диабета (обзор литературы). Вестник Тамбовского университета. Серия: Естественные и технические науки. 2017;22(4):714-9. doi:10.20310/1810-0198-2017-22-4-714-719.
5. Rizzoni D, Mengozzi A, Masi S, et al. New Noninvasive Methods to Evaluate Microvascular Structure and Function. Hypertension. 2022;79(5):874-86. doi:10.1161/HYPERTENSIONAHA.121.17954.
6. Масляницына А.И., Каданова И.М., Незнанов А. И. и др. Микрореологические свойства крови и капиллярный кровоток при артериальной гипертензии и сахарном диабете второго типа: исследование оптическими методами in vitro и in vivo. Комплексные проблемы сердечнососудистых заболеваний. 2020;9(2):53-63. doi:10.17802/2306-1278-2020-9-2-53-63.
7. Гойдин А. П., Шутова С.В., Фабрикантов О. Л. Диагностические возможности капилляроскопии ногтевого ложа при диабетической ретинопатии. Вестник офтальмологии. 2023;139(1):16-26. doi:10.17116/oftalma202313901116.
8. Хейло Т. С., Данилогорская Ю.А., Назаренко Г.Б. и др. Динамика показателей микроциркуляции у больных хроническими ишемическими заболеваниями центральной нервной и сердечно-сосудистой систем. Терапия. 2021;7(8):84-92. doi:10.18565/therapy.2021.8.84-92.
9. Каданова И.М., Незнанов А.И., Луговцов А.Е. и др. Взаимосвязь параметров капиллярного кровотока, измеренных in vivo, и микрореологических параметров крови, измеренных in vitro, при артериальной гипертензии и ишемической болезни сердца. Регионарное кровообращение и микроциркуляция. 2021;20(1):17-24. doi:10.24884/1682-6655-2021-20-1-17-24.
10. Gracia Tello BC, Sáez Comet L, Lledó G, et al. Capi-score: a quantitative algorithm for identifying disease patterns in nailfold videocapillaroscopy. Rheumatology (Oxford). 2024;63(12):3315- 21. doi:10.1093/rheumatology/keae197.
11. Karbalaie A, Emrani Z, Fatemi A, et al. Practical issues in assessing nailfold capillaroscopic images: a summary. Clin Rheumatol. 2019;38(9):2343-54. doi:10.1007/s10067-019-04644-9.
12. Корнеева Н.В., Оттева Э. Н., Жмеренецкий К.В. и др. Конъюнктивальная биомикроскопия в диагностике микроциркуляторных нарушений при системной склеродермии: новый взгляд на "старый" метод. Научно-практическая ревматология. 2021; 59(4):426-33. doi:10.47360/1995-4484-2021-426-433.
13. Хынку Е.Ф., Разницына И.А., Молочкова Ю.В. и др. Место лазерной флуоресцентной спектроскопии, допплеровской флоуметрии и ультразвукового исследования в диагностике и оценке эффективности терапии бляшечной склеродермии. Российский журнал кожных и венерических болезней. 2022;25(4):289-302. doi:10.17816/dv109060.
14. Herrick AL, Berks M, Taylor CJ. Quantitative nailfold capillaroscopy-update and possible next steps. Rheumatology (Oxford). 2021;60(5):2054-65. doi:10.1093/rheumatology/keab006.
15. Головицкий А.П., Концевая В.Г., Куликов К.Г. Электродинамическая модель определения функции распределения частиц по размерам для клеток крови in vivo. Научно-технические ведомости Санкт-Петербургского государственного политехнического университета. Физико-математические науки. 2023;16(1):97-110. doi:10.18721/JPM.16108.
16. Власова Т. И., Власов Т. Д. Современные методы оценки микроциркуляции. Регионарное кровообращение и микроциркуляция. 2024; 23(4):5-21. doi:10.24884/1682-6655-2024-23-4-5-21.
17. Heilmeier U, Feldmann D, Leynes A, et al. Chronic low-grade inflammation in patients with systemic sclerosis is associated with increased risk for arteriosclerotic cardiovascular disease. Front Med. 2024;11:1446268. doi:10.3389/fmed.2024.1446268.
18. Angeloudi E, Anyfanti P, Dara A, et al. Peripheral nailfold capillary microscopic abnormalities in rheumatoid arthritis are associated with arterial stiffness: Results from a crosssectional study. Microvasc Res. 2023;150:104576. doi:10.1016/j.mvr.2023.104576.
19. Pagkopoulou E, Soulaidopoulos S, Triantafyllidou E, et al. Peripheral microcirculatory abnormalities are associated with cardiovascular risk in systemic sclerosis: a nailfold video capillaroscopy study. Clin Rheumatol. 2021;40(12):4957-68. doi:10.1007/s10067-021-05795-4.
20. Ermolinskiy P, Gurfinkel Y, Sovetnikov E, et al. Correlation between the Capillary Blood Flow Characteristics and Endothelium Function in Healthy Volunteers and Patients Suffering from Coronary Heart Disease and Atrial Fibrillation: A Pilot Study. Life (Basel, Switzerland). 2023;13(10):2043. doi:10.3390/life13102043.
21. Андреева И.В., Григорьев А. С. Комплексное изучение возрастных особенностей центральной, периферической гемодинамики и микроциркуляции у лиц без сердечно-сосудистых заболеваний. Современные вопросы биомедицины. 2024;8(1). doi:10.24412/2588-0500-2024_08_01_2.
22. Гойдин Д. А., Шутова С.В., Фабрикантов О. Л. и др. Капилляроскопия как скрининговое обследование сосудов при сахарном диабете. Обзор литературы. Отражение. 2021;1(11):66-73. doi:10.25276/2686-6986-2021-1-17-25.
23. Lim MWS, Setjiadi D, Dobbin SJH, et al. Nailfold video-capillaroscopy in the study of cardiovascular disease: a systematic review. Blood Press Monit. 2023;28(1):24-32. doi:10.1097/MBP.0000000000000624.
24. Martino F, Barilla' F, Martino E, et al. Nailfold capillaroscopy reveals early peripheral microcirculation abnormalities in children affected by heterozygous familial hypercholesterolemia. Microvasc Res. 2023;148:104545. doi:10.1016/j.mvr.2023.104545.
25. Зиганшина М.М., Зиганшин А.Р., Халтурина Е.О. и др. Артериальная гипертензия как следствие дисфункции эндотелиального гликокаликса: современный взгляд на проблему сердечно-сосудистых заболеваний. Кардиоваскулярная терапия и профилактика. 2022;21(9):3316. doi:10.15829/1728-8800-2022-3316.
26. Yüksel S, Yüksel EP, Meriç M. Abnormal nailfold videocapillaroscopic findings in heart failure patients with preserved ejection fraction. Clin Hemorheol Microcirc. 2021;77(1):115-21. doi:10.3233/CH-200968.
27. Manning D, Rivera EJ, Santana LF. The life cycle of a capillary: Mechanisms of angiogenesis and rarefaction in microvascular physiology and pathologies. Vascul Pharmacol. 2024;156: 107393. doi:10.1016/j.vph.2024.107393.
28. Давидович И.М., Корнеева Н.В., Ковалева Г.А. и др. Микроциркуляция при сердечной недостаточности: состояние проблемы (обзор литературы). Кардиоваскулярная терапия и профилактика. 2024;23(12):4122. doi:10.15829/1728-8800-2024-4122.
29. Пахтусов Н.Н., Юсупова А.О., Привалова Е.В. и др. Эндотелиальная дисфункция и воспаление у пациентов с ишемической болезнью сердца и необструктивным поражением коронарных артерий. Кардиология. 2021;61(1):52-8. doi:10.18087/cardio.2021.1.n1423.
30. Сафонова Ю. И., Кожевникова М. В., Данилогорская Ю. А. и др. Положительное влияние периндоприла на сосуды микроциркуляторного русла у больных с хронической сердечной недостаточностью. Кардиология. 2020;60(8):65-70. doi:10.18087/cardio.2020.8.n1216.
31. Roberts-Thomson PJ, Patterson KA, Walker JG. Clinical utility of nailfold capillaroscopy. Intern Med J. 2023;53(5):671-9. doi:10.1111/imj.15966.
32. Durante A, Mazzapicchi A, Baiardo Redaelli M.Systemic and Cardiac Microvascular Dysfunction in Hypertension. Int J Mol Sci. 2024;25(24):13294. doi:10.3390/ijms252413294.
33. Feihl F, Liaudet L, Waeber B. The macrocirculation and microcirculation of hypertension. Curr Hypertens Rep. 2009;11(3):182- 9. doi:10.1007/s11906-009-0033-6.
34. Korolev AI, Fedorovich AA, Gorshkov AY, et al. Structural and functional state of various parts of skin microcirculation at an early stage of hypertension in working-age men. Microvasc Res. 2023;145:104440. doi:10.1016/j.mvr.2022.104440.
35. Федорович А.А., Горшков А.Ю., Королев А. И. и др. Гендерные различия структурно-функционального состояния микроциркуляторного русла кожи у лиц с впервые выявленной артериальной гипертензией. Кардиоваскулярная терапия и профилактика. 2023;22(8):3696. doi:10.15829/1728-8800-2023-3696.
36. Minopoulou I, Theodorakopoulou M, Boutou A, et al. Nailfold Capillaroscopy in Systemic Sclerosis Patients with and without Pulmonary Arterial Hypertension: A Systematic Review and Meta-Analysis. J Clin Med. 2021;10(7):1528. doi:10.3390/jcm10071528.
37. Shah R, Petch J, Nelson W, et al. Nailfold capillaroscopy and deep learning in diabetes. J Diabetes. 2023;15(2):145-51. doi:10.1111/1753-0407.13354.
38. Нуруллина Т. Н., Рогова Н.В., Вачугова А.А. и др. Опыт применения лазерной допплеровской флоуметрии в лечении больной с синдромом диабетической стопы. Лечебное дело. 2023;(1):111-4. doi:10.24412/2071-5315-2023-12958.
39. Rajaei A, Dehghan P, Emtiazi N, et al. Microvascular Changes Are Associated with Proteinuria and EMG Changes in Patients with Type 2 Diabetes Using Video Capillaroscopy. Ann Vasc Dis. 2024;17(1):15-20. doi:10.3400/avd.oa.23-00066.
40. Билецкая В. А., Липатов Д.В., Саяпина И.Ю. и др. Маркеры пролиферативной диабетической ретинопатии. Офтальмология. 2022;19(3):557-64. doi:10.18008/1816-5095-2022-3-557-564.
41. Abd El-Khalik DM, Hafez EA, Hassan HE, et al. Nail Folds Capillaries Abnormalities Associated With Type 2 Diabetes Mellitus Progression and Correlation With Diabetic Retinopathy. Clin Med Insights Endocrinol Diabetes. 2022;15:11795514221122828. doi:10.1177/11795514221122828.
Об авторах
А. С. ЛишутаРоссия
Лишута Алексей Сергеевич — к.м.н., профессор кафедры госпитальной терапии № 1
Москва
М. В. Кожевникова
Россия
Кожевникова Мария Владимировна — к.м.н., профессор кафедры госпитальной терапии № 1
Москва
О. А. Слепова
Россия
Слепова Ольга Александровна — к.м.н., ассистент кафедры госпитальной терапии № 1
Москва
Ю. Н. Беленков
Россия
Беленков Юрий Никитич — академик РАН, д.м.н., зав. кафедрой госпитальной терапии № 1
Москва
А. А. Симановский
Россия
Симановский Антон Анатольевич — старший преподаватель кафедры общей гигиены ИОЗ им Ф.Ф. Эрисмана, м.н.с. "Центра неврологии доктора Шахновича"
Москва
В. А. Шахнович
Россия
Шахнович Виктор Александрович — д.м.н., профессор, член-корр. РАЕН, руководитель "Центра неврологии доктора Шахновича"
Москва
Ф. Н. Мустафина
Россия
Мустафина Фируза Николаевна — к.м.н., врач функциональной диагностики "Центра неврологии доктора Шахновича"
Москва
Дополнительные файлы
Что известно о предмете исследования?
- Микроциркуляторные нарушения играют ключевую роль в патогенезе сердечно-сосудистых заболеваний (ССЗ), включая ишемическую болезнь сердца и артериальную гипертензию.
- Метод капилляроскопии позволяет оценивать структурные и функциональные параметры капилляров, но требует стандартизации.
- Снижение плотности капиллярной сети коррелирует с риском осложнений при ССЗ, таких как инфаркт миокарда и органная недостаточность.
Что добавляют результаты исследования?
- Подчеркивают клиническую значимость капилляроскопии для ранней диагностики микроциркуляторных нарушений у пациентов с ССЗ.
- Акцентируют необходимость внедрения алгоритмов искусственного интеллекта для анализа данных капилляроскопии.
- Указывают на прогностическую ценность изменений капиллярного русла как маркеров прогрессирования заболеваний.
Рецензия
Для цитирования:
Лишута А.С., Кожевникова М.В., Слепова О.А., Беленков Ю.Н., Симановский А.А., Шахнович В.А., Мустафина Ф.Н. Возможности капилляроскопической оценки микроциркуляции в кардиологии. Кардиоваскулярная терапия и профилактика. 2025;24(8):4380. https://doi.org/10.15829/1728-8800-2025-4380. EDN: MQTLQN
For citation:
Lishuta N.V., Kozhevnikova M.V., Slepova O.A., Belenkov Yu.N., Simanovsky A.A., Shakhnovich V.A., Mustafina F.N. Microcirculation assessment using capillaroscopy in cardiology. Cardiovascular Therapy and Prevention. 2025;24(8):4380. (In Russ.) https://doi.org/10.15829/1728-8800-2025-4380. EDN: MQTLQN
JATS XML

















































